Your Custom Text Here
No matter who you are or where you're from, a smile is universally understood. It is a chief factor that contributes to self confidence and overall well-being.
With that primary understanding, we here at Mercy Seat Dentistry offer high calibre treatments in Cosmetic Dentistry (everything from tooth-coloured restorations, dental bonding, teeth whitening and dental implants) using the latest in dental technology.
Book an appointment with us and lets help you accentuate one of your most visible facial features.
At Mercy Seat we offer state-in-art services in Restorative Dentistry. This includes Crowns and Bridges.
Crowns
As the name implies, a crown is a covering or cap that is inserted over an affected tooth. Prior to inserting a crown, the affected tooth is prepared by removing any decay and then shaped accordingly so that the crown fits perfectly over the tooth using dental cement.
Bridges
A bridge is an appliance that utilizes adjoining teeth as anchors to hold an artificial tooth in place of a missing one. If you're looking to replace one or multiple missing permanent teeth, bridges are a great option. They also help to prevent dire dental issues such as shifting of teeth.
Set up an appointment and lets discuss your options to prevent any dental issues.
The effects of missing teeth on your oral health can be worrisome. Gaps left by a missing tooth tend to cause the teeth on either side to move, which in turn, means your bite may be affected. How? The teeth next to the space can lean into the gap and change the way your upper and lower teeth bite together.
At Mercy Seat Dentistry, we offer a wide range of options to help replace missing teeth: plastic/cast partial dentures, fixed bridges and dental implants.
Get in touch and let's figure the best option for you.
Extractions of any kind - especially a dental one - generally tends to illicit a painful imagery and makes people shy away from this procedure, especially when they need it. We get it. At Mercy Seat Dentistry, we go out of our way to ensure that you have the most comfortable experience when undergoing a dental extraction.
Ring us and let's walk you thorough our process so we can prevent any serious damage to your overall dental health.
As a family owned practice we place immense value on family hygiene.
Monitoring the progress of your Toddlers' emerging teeth is crucial to overall health, and visiting the dentist as early as possible is encouraged. At Mercy Seat Dentistry, we cater to all your family dentistry needs, everything from hygiene appointments to clear braces, wisdom teeth extractions to fillings. Be rest assured that you are in safe and caring hands.
Check in to book an appointment!
Looking for an alternative to metal braces? Look no further; Invisalign (Clear) Braces are the way to go!
Invisalign (Clear) Braces are the modern route to straightening teeth which use custom-made series of aligners just for you. Made of smooth, comfortable and virtually invisible plastic, these aligner trays are simply worn over your teeth, which in turn, starts the process of gently putting your teeth into place.
Find out if Invisalign (Clear) Braces are right for you.
At Mercy Seat Dentistry we have the state of the art equipment that screens for any sign of cancer or precancerous conditions in your mouth. As with any type of cancer, early detection is important.
Gum disease is no joke. This inflammation of the gums can spread and affect the bone that supports your teeth. Symptoms like swollen/red/tender/bleeding gums, persistent bad breath, loose teeth or visible pus around your teeth and gums could mean you have a gum disease.
The good news is that gum disease can be treated and controlled through a maintenance program.
If you experience any of the mentioned signs, get in touch with us quickly so we can put together a plan of action.
If you have a tooth that is painful, sensitive to hot and cold and biting, or if it keeps you up at night, the nerve of your tooth might be affected.
To save the tooth, a root canal might be recommended - we simply clean the nerve of the affected tooth and fill up the space created.
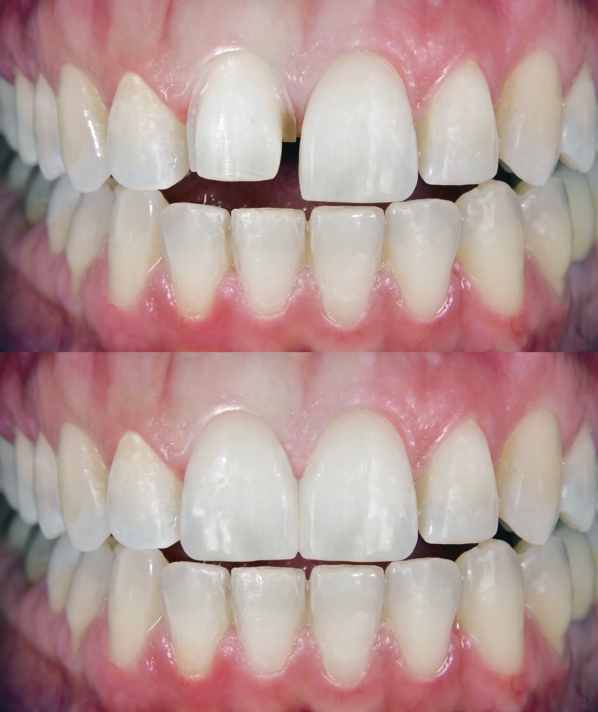
Veneers offer an immediate impact on the smiles of patients who are looking to amend uneven, chipped or stained teeth.
At Mercy Seat Dentistry, we understand the importance that a smile has on the well being of our patients, and as such, we offer top notch porcelain veneers that feel and look wonderful.
Call or email us today for a private consultation, and let's work on getting you that winning smile.